Periodontologia
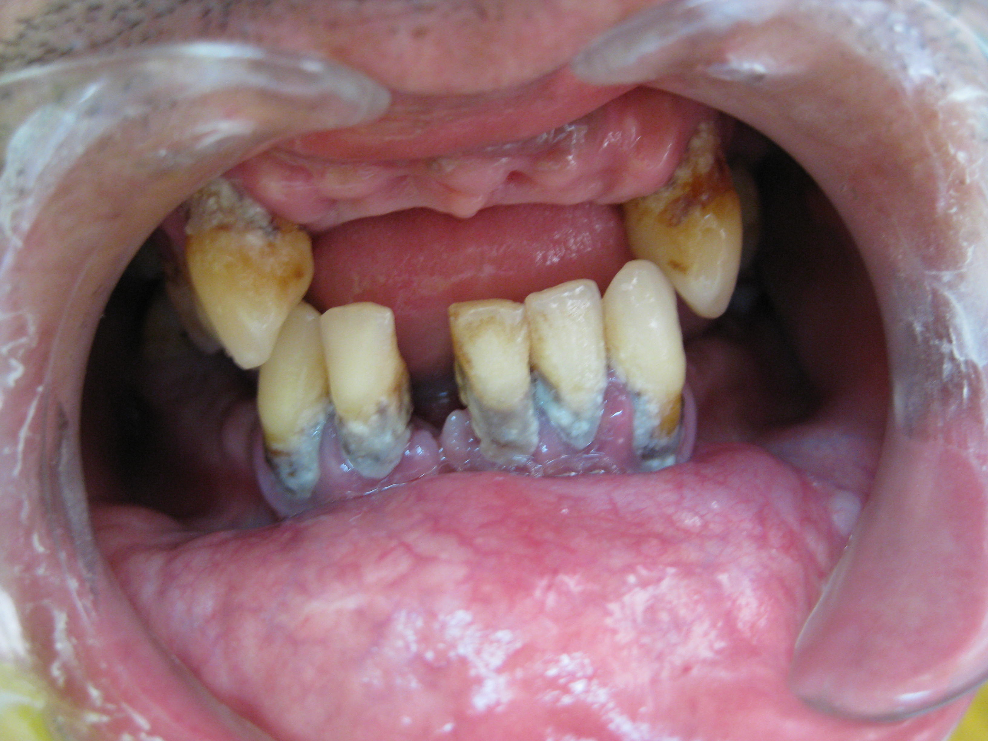
Na periodontologia, os tratamentos têm por objectivo a eliminação das bactérias responsáveis e o controlo dos factores que aumentam a susceptibilidade às doenças periodontais, como o tabaco e algumas doenças sistêmicas, criando condições para que a doença se possa manter controlada a longo prazo.
Nas gengivites, é suficiente uma melhoria da higiene oral pelo doente e um tratamento de profilaxia, rápido e fácil. Nas periodontites, o tratamento desenrola-se em várias fases. Em primeiro lugar, realiza-se um estudo periodontal clínico e radiológico para avaliar a situação, fazer um diagnóstico e traçar um plano de acção. Seguidamente, efectua-se a fase básica do tratamento para remoção da placa bacteriana da bolsa periodontal, que se designa como raspagem e alisamento radicular. Em bolsas profundas é necessário fazer, adicionalmente, uma pequena cirurgia periodontal correctiva. Após a doença estar controlada, inicia-se a fase de tratamento de manutenção.
fonte: Ordem dos Médicos Dentistas

